〔虫歯治療〕
歯の切削を最小限にとどめるミニマルインターベンションという考え方に基づき、できるだけ削らない治療を心がけています。
コンポジットレジンと呼ばれる白い充填材料や、それと歯を接着する材料や技術の発展により可能になりました。咬む力を最も強く受け止める奥歯にも使えるようになったため、銀歯でなく白い歯に!という要望に少しずつ応えられるようになってきました。歯と歯の間に隙間を作らないよう、下のような装置を使用しています。
〔根管治療〕
むし歯が深く進行した場合には、歯の強い痛みを感じるため麻酔をして神経を除去することが必要になります。
その後歯の根の管(根管)内を綺麗に消毒し、薬を詰めてばい菌が入り込まないようにする治療法を根管治療といいます。
当院では、コンピューター制御されたレシプロケーション運動(往復で回転する)を行うニッケルチタンファイルという電動の切削器具を用いて時間短縮を図るとともに精度の高い根管治療を目指しています。
汚染された組織が残り細菌が繁殖すると根管の先端に膿が溜まり、歯茎を切開して膿を出す治療が必要となる場合もありますし、最も良くないときは抜歯になります。
細心の注意を払って念入りに消毒する必要がある分、根管治療は治療に時間を要する場合が多いのです。
〔歯周病〕
歯周病は、歯を支えている組織(歯周組織)が破壊されていく病気です。軽度な歯肉炎を含めると40歳以上の8割の方がかかっているといわれています。
原因は口の中に常にある歯周病菌という細菌です。
これが粘着性のプラーク(バイオフィルム)というものを形成し、放置すると歯石がたまり、歯周組織を破壊していくのです。
症状としては、痛みはあまりありませんが歯ぐきの腫れと出血、口臭がするなどが挙げられます。
進行すると、歯ぐきが痩せてきて歯と歯の間にモノが詰まる、歯がグラグラしてくるという形で進みます。
そのように進ませないためにバイオフィルムを作らせないか取り除くことが重要ですが、これは家庭で行う歯みがきによって行います。だから歯みがきが大切なのです。歯みがきを完璧にするために、歯磨き指導を受け、またフロスや歯間ブラシのような補助用具を使うのも良いでしょう。
歯科医院での処置としては、歯石をとるスケーリングが主で、歯の表面の深いところを滑沢にして歯周組織を改善するルートプレーニング、さらには、歯肉の形態を改善するFOPと呼ばれる外科処置に移行することもありますが、どの場合でも、歯みがきがしっかり行われていることが基本です。
歯周病治療が終了して健全な歯周組織を回復するとメンテナンスに移行します。定期健診を行い、歯周組織のチェック、歯石の除去、PMTC、歯磨き指導を行います。むし歯のチェックや前回の治療の確認も行います。
-
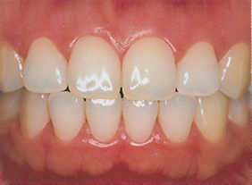
健康な歯ぐき

-
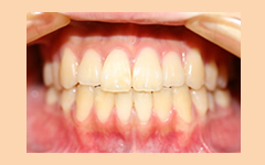
軽度歯周炎の歯ぐき

-
重度歯周炎(初診)

-
重度歯周炎(SPR後)

歯周病と全身疾患などとの関わり
糖尿病/歯周病が血糖コントロールを悪化させ、血糖コントロールの不良は歯周病の進行につながり、相互に悪化させる悪循環に陥ると考えられています。
誤嚥性肺炎/歯周病菌が肺に入って肺炎を引き起こします。健常者でも誤嚥はあるのですから、高齢者や寝たきりの方などは要注意です。
喫煙/喫煙者や、喫煙経験者の歯周病リスクは健常者の2~5倍といわれています。喫煙によって、歯肉の血管が細くなり感染への抵抗が弱まるからです。
〔予防歯科、定期検診〕
予防歯科
当院は予防歯科に特に力を入れています。予防歯科とは、むし歯や歯周病になってからの「治療」ではなく、なる前の「予防」を大切にすることです。
自宅で実践する歯みがきなどの毎日の<セルフケア>と歯科医院で行う予防処置、PMTC、歯磨き指導の<プロフェッショナルケア>の両輪で予防歯科に取り組んでいきます。
ここでは、歯科衛生士がそれぞれの患者さんに最適の歯ブラシ、デンタルフロス、歯間ブラシを選択し、十分に理解して使っていただけるよう説明と実践を行っています。
また予防歯科を進める上では、定期健診がなくてはなりません。<セルフケア>がうまくできているかをチェックしていきます。
痛くなってから歯医者に駆け込むのではなく痛くならないために定期的に受診する、という考え方にかえてください。
-
PMTC
歯科医師または歯科衛生士が専用の器具を用いて行う歯面清掃のことで、歯みがきでは取れていないプラーク(バイオフィルム)や歯の根の汚れを取り除きます。
同時にフッ素塗布をしますので、歯質強化にもつながります。
-
フッ素塗布
フッ素は元々自然界にあるもので、魚介類や海藻、お茶といった食品にも含まれているものなので安全です。
歯に対してのフッ素の働きは、再石灰化の促進すること、歯質を強くすること、むし歯の原因となる菌の活動を抑えることで、フッ素を塗布することでこれらの効果を得て、むし歯に強い歯を作ります。
当院では、むし歯を防ぐこと以外にも知覚過敏の抑制などあらゆる世代の方にフッ素を活用して、歯の強化に努めています。
定期検診
“予防こそ最善の治療です!”
これが、当院で30年前から実施している定期健診のお知らせはがきの表題です。
治療終了後、原則として6か月後にお送りしています。
セルフケアのチェック、入れ歯や治療箇所のチェックなど、歯と口の健康維持のために重要な柱です。
西宮市では以下の健診を行っておりますので、通知はがきが届きましたらご予約の上ご持参ください。
- 西宮市歯周疾患検診
(40歳、50歳、60歳、70歳) - 西宮市妊婦歯科検診
- 西宮市長寿歯科健診(75歳、80歳)
〔矯正歯科〕
矯正認定医が担当します。矯正治療の目的は、きれいな歯並びを得ること、正しいかみ合わせでしっかり咬めることですが、
きれいな歯並びは、歯周病のリスクを減らします。大人になってからでも取りかかれます。
-
初診相談
ご質問にお答えするとともに治療方法や治療期間、費用について概略をお話しいたします。
-
精密検査のための資料どり
噛み合わせや骨格のズレ、骨の中の様子を徹底的に調べ、分析を行います。同時に矯正治療問診票をお渡ししますのでご記入ください。
-
◎写真【口の中の写真】
現在の口の中の状態を記録します。
-
◎写真【顔の写真】
正面、笑顔、横顔を撮ります。
-
◎模型【型どり】
噛み合わせや歯並びの状態を立体的に再現します。
-
◎レントゲン撮影【パノラマ】
まだ生えていない歯や親知らずの有無など、色々なことがわかります。また、あごの関節に異常がないかを確認します。
-
◎レントゲン撮影【セファロ】
骨格と歯の大きさや角度を標準(同年代同性の全国平均)の位置と重ね合わせて比較し分析します。
-
◎写真【口の中の写真】
-
診断
逸ご質問にお答えするとともに治療方法や治療期間、費用について概略をお話しいたします。
-
矯正開始
診断計画に沿って矯正治療を行っていきます。
-
第1期治療
乳歯が残っている場合の治療です。出っ歯、受け口の矯正あるいは歯列の拡大など、主に顎の位置関係を正し乳歯から永久歯への生え換わりをスムーズにします。
-
第2期治療(永久歯列期での治療)
理想的な歯並びとかみ合わせを作るため、1本1本の歯を動かしていきます。期間はエッジワイズ装置装着の場合、おおむね1年半から2年くらいです。来院頻度は、軌道に乗れば1 ヶ月に一度となります。
-
第1期治療
-
矯正歯列完成、保定の準備
目標とする歯並びが出来上がりました。
エッジワイズ装置を外す準備として、型を取り保定装置を作製します。
-
保定と観察
エッジワイズ装置を外し、保定装置に交換します。 約2 年間、年に2 ~4回程度の来院となりますが、保定期間は大変重要です。
保定装置はご自分で取り外せますが、毎日の使用を怠れば歯は元の状態に戻ります。そうなれば頑張った治療がフイになりますので、矯正装置が外れたことが治療終了ではないことをご承知おきください。
- 終了
矯正治療症例
17歳:女性:叢生の矯正
16歳:女性:乱杭歯の矯正
〔小児歯科〕
小さいお子さんは、まず歯科医院に行きたがりませんね。
音が怖い、においがイヤ。
でも本当は、お母さん自身が歯医者が嫌いなのを感じ取っているからかも知れませんね。
当院では、まず歯科医院に慣れていただくことから始めます。
いきなり歯を削るということはまずありません。
-
フッ素塗布
フッ素は歯質を強くすることは知られていますが、特に乳歯や生え始めの永久歯は、表面のエナメル質の強度が十分でないので、効果が大きいです。
-
歯磨き指導
歯の正しい磨き方を覚えることが最終目的ですが、むし歯になりやすいお子さんは歯磨きの習慣ができていない子や、ブラシを持ってもすぐ終わるといったまだまだ入口の子もいらっしゃいます。
-
6歳臼歯を守る
奥歯でまず生えてくるのが6歳臼歯です。
一生使う大事な歯です。この歯をむし歯にしないよう、ケアが必要です。
-
咬合誘導
乳歯のむし歯を放置すると、奥歯が前に押されてきて、永久歯の歯並びができるときに最後に生える歯の場所がなくなります。そうなると矯正治療が必要となります。 歯と歯の間にできたむし歯を放置してはいけないのはこのためです。
-
定期検診
むし歯の早期発見だけでなく、指しゃぶりなどの良くない癖を直すこと、過剰歯の発見など定期検診は重要です。
〔入れ歯(義歯)〕
超高齢化社会を迎え、健康寿命の延伸が大目標となっています。その中で、失われた歯の代わりとしての入れ歯の性能もますます高度なものが要求されるようになってきました。
保険の範囲内でどんなケースにも対応できますが、入れ歯とは長い付き合いになること、そして作り替えの必要も出てくることから、より快適なものはないかとのご相談が増しています。
そこで、快適性、審美性、安定性を追求した、保険外の入れ歯を紹介します。
〔インプラント〕
失われた歯の機能を取り戻すための治療法です。
歯の代わりとなる人工歯根(インプラント)を顎の骨に埋め込みます。
従来の治療法のように、隣の歯を削る必要がなくなりました。元の歯と比べてもしっかり噛めるようになり、見た目も変わりません。義歯との併用により動かない義歯を実現することもできます。
ただしインプラント治療を受けられるかどうかにはいくつかの条件があります。
- ◎糖尿病や高血圧などの全身的問題がないか。
- ◎インプラントを埋め込むに十分な骨量があるかどうか。
CT診断の上で、検討していきます。
インプラント治療の流れ
- カウンセリング(無料)
治療の流れの説明、検査の内容、治療期間について
- 検査
模型造りとレントゲン検査
CT撮影(歯科用CT紹介ページへ→)
- 診断
レントゲン像と模型から診断します。
顎の骨の形などから、インプラントができない場合も出てきます。
- インプラント植立手術
上の顎で3~4か月、下で2~3か月、骨がインプラント体を囲んで強固に結合していくのを待ちます。
- 上部構造の制作
型どりして制作します。
出来上がったその日からしっかり噛めます。
- メンテナンス
インプラントにも歯肉炎、歯周病は起こります。
歯周病同様、人工歯根を支えている骨に炎症が及ばないよう、ブラッシングの励行をしてください。定期検診が大切です。
〔クリーニング〕
超微粒子パウダーを歯の表面に吹き付け、着色を取り除きます。
コーヒー、紅茶、日本茶などの茶渋やタバコのヤニによる着色は、これにより前歯の表面だけではなく裏側や奥歯のも取り除くことができ元の輝きを取り戻します。
〔ホワイトニング〕
歯の表面から薬剤が浸透していき、内部の色素を分解して漂白します。
上の前歯6本または下の前歯6本、あるいはその両方を漂白しますが、その方法には以下の2通りがあります。
ホームブリーチング
自宅で行うホワイトニングです。
専用のマウスピースを作製しますので、それにホワイトニングジェルを入れて、一定期間一定時間装着することにより、歯を白くしていきます。
比較的時間がかかりますが、ご自宅で好きな時間に行えます。
オフィスブリーチング
診療室で行います。
1度の来院で30分から45分程度。
ホワイトニング剤を歯の表面に塗り特殊な光を照射することで漂白します。
通常2度の来院にて行います
ウォーキングブリーチング
歯の神経が失われていて変色している歯を、個別に歯の内部に薬剤を入れておくことにより漂白します。効果が表れるまで数回の受診が必要です。
〔スポーツマウスガード〕
ラグビー、アメリカンフットボール、ラクロスなど、格闘技だけではなく、競技中のマウスガード使用を義務付ける種目が増えてきました。
マウスガードの目的は歯を破折や脱臼から守ること、歯の周りの組織を守ることです。
市販の材料によるものは、お湯につけて噛むだけの簡便なものですが、はずれ易いとか、大事な部分を覆えていないなど、目的を十分に果たしていないものが多いようです。
むし歯治療を完了したのち、ご自分の歯並びと口に合ったマウスガードを作られることをお勧めします。
かかりつけ歯科医機能強化型歯科診療所(か強診)
当院は「かかりつけ歯科医機能強化型歯科診療所」の施設基準を満たす歯科医院として、
厚生労働省より正式に認可されております。
かかりつけ歯科医機能強化型
歯科診療所とは?
かかりつけ歯科医の有無と、新しいう蝕の発生や現在歯数には、有意に関連があることが分析・調査から明らかになってきており、
生涯を通じた歯科疾患の重症化を予防するため、平成28年度診療報酬改定で新設されたのが、かかりつけ歯科医機能強化型歯科診療所です。
かかりつけ歯科医機能強化型
歯科診療所の施設基準
- 過去1年間に歯科訪問診療1又は2、歯周病安定期治療及びクラウン・ブリッジ維持管理料を算定している実績があること。
- 次に掲げる研修をいずれも修了した歯科医師が1名以上配置されていること。
- ア 偶発症に対する緊急時の対応、医療事故及び感染症対策等の医療安全対策に係る研修
- イ 高齢者の心身の特性、口腔機能の管理及び緊急時対応等に係る研修
- 歯科医師が複数名配置されていること又は歯科医師及び歯科衛生士がそれぞれ1名以上配置されていること。
- 診療における偶発症等緊急時に円滑な対応ができるよう、別の保険医療機関との事前の連携体制が確保されていること。
- 当該診療所において、迅速に歯科訪問診療が可能な歯科医師をあらかじめ指定するとともに、当該担当医名、当該担当医の
連絡先電話番号、診療可能日、緊急時の注意事項等について、事前に患者又は家族に対して説明の上、文書により提供していること。 - 当該地域において、在宅医療を担う保険医療機関と連携を図り、必要に応じて、情報提供できる体制を確保していること。
- 当該地域において、他の保健医療サービス及び福祉サービスの連携調整を担当する者と連携していること。
- 口腔内で使用する歯科医療機器等について、患者ごとの交換や、専用の機器を用いた洗浄・滅菌処理を徹底する等
十分な感染症対策を講じていること。 - 感染症患者に対する歯科診療について、ユニットの確保等を含めた診療体制を常時確保していること。
- 歯科用吸引装置等により、歯科ユニット毎に歯の切削や義歯の調整、歯冠補綴物の調整時等に飛散する細かな物質を吸引できる環境を
確保していること。 - 患者にとって安心で安全な歯科医療環境の提供を行うにつき次の十分な装置・器具等を有していること。